Study finds growing levels of microplastics in human brains

Feb 17, 2025 - 20:45
Study finds growing levels of microplastics in human brains
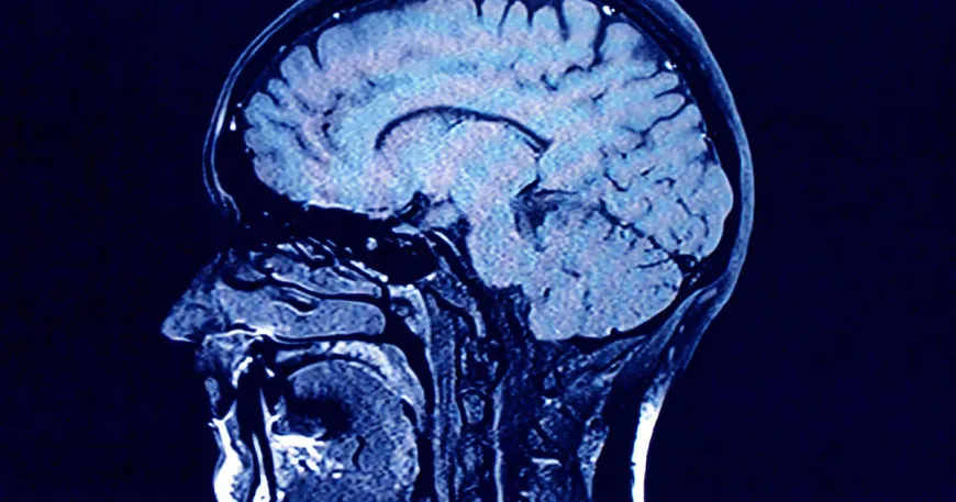
Human brains contain higher concentrations of microplastics than other organs, according to a new study, and the amount appears to be increasing over time.
Tekafi As a passionate news reporter, I am fueled by an insatiable curiosity and an unwavering commitment to truth. With a keen eye for detail and a relentless pursuit of stories, I strive to deliver timely and accurate information that empowers and engages readers.